+1 809-000-0000
info@panoramicadigital3d.com
Siguenos
Toggle navigation
Inicio
Sobre Nosotros
Servicios
Casos de Estudios
Casos de Estudio
Case Studies Deatils
Novedades
Nuevos
Nuevo detalle
Contactos
Login
Servicios
Recibe tus estudios de manera digital
en Androiod o IOS, descarga nuestra APP.
Conoce Nuestros Servicios
Conoce nuestra cartera de servicios, puedes saber mas Información de ellos
y tambien realizar una indicación digital para más comodidad.
Panorámicas 2D
Más Inf..
Indicar Servicio
Tomografía 3D
Más Inf..
Indicar Servicio
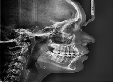
Análisis Cefalométricos
Más Inf..
Indicar Servicio
Teleradiografía
Más Inf..
Indicar Servicio
ATM
Más Inf..
Indicar Servicio
Fotografía 3D
Más Inf..
Indicar Servicio
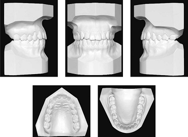
Modelos de Estudio 3D
Más Inf..
Indicar Servicio
Senos Paranasales
Más Inf..
Indicar Servicio
Fotos Extra e Intraorales
Más Inf..
Indicar Servicio
Registrate con nosotros y empieza a indicar tus panoramicas de manera digital y recibela al instante.
REGISTRATE AQUI